В США обнаружен странный феномен: рыбы-пилы кружатся на месте, пока не умрут
Во Флориде ученые фиксируют участившиеся случаи загадочной гибели рыбы, которая перед смертью начинает совершать хаотичные круговые движения. По мнению исследователей,...
В штате Иллинойс прямо посреди спортивного поля образовалась огромная 30-метровая воронка
Американская телекомпания NBC News сообщила о довольно пугающем инциденте в штате Иллинойс. На одном из спортивных полей среди бела дня...
Американские ученые нашли продукты — источники скрытых насыщенных жиров и сахара
Ученые из Университета штата Огайо подвели итоги масштабного исследования рынка продовольствия в США и теперь бьют тревогу. В «Руководстве по...
Новый вид жировых клеток занимается бесполезной работой ради сжигания лишней энергии
Команда исследователей из ETH Zurich открыла новый подвид бежевых жировых клеток, деятельность которых не приносит никакой пользы организму. Бежевые клетки...
Ученые выяснили, чем пахнут египетские мумии
Исследователи из Лондонского университетского колледжа (UCL) и Люблянского университета провели работу по изучению запахов, которые исходят от мумий из Древнего Египта. Для...
Гольф и некоторые другие мужские хобби увеличивают риск развития склероза на 300%
Исследователи из Медицинского университета Мичигана выявили несколько новых неожиданных факторов, которые повышают шансы возникновения бокового амиотрофического склероза (БАС). Лечения от...
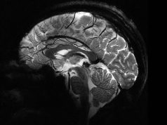
Самый мощный в мире МРТ-аппарат Iseult в несколько раз превзошел конкурентов
Во Франции разработан самый мощный в мире МРТ-аппарат Iseult — он способен обеспечить напряженность поля на уровне 11,7 Тесла. Это в несколько...
Наш мозг воспринимает время как череду событий, а не как работу часов
Исследователи из Университета Невады в Лас-Вегасе предоставили доказательства гипотезы о том, что мозг человека (и других интеллектуально развитых существ) не...
Искусственная гибернация спасет жизни в неотложных медицинских ситуациях
Изображение: Dall-E 3 Исследователи из Гарвардского института Висса провели исследование по применению препарата донепезила для введения головастиков в биостазис. Это нечто среднее между...
Американские экономисты встревожены стремительным ростом спроса на сосиски
Среди множества показателей, свидетельствующих о кризисе американской экономики, экономисты штата Техас выделили еще один: американцы стали чаще покупать сосиски вместо...











































