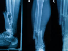
В России впервые провели имплантацию модульного эндопротеза
Новосибирские онкохирурги провели первую в нашей стране операцию, в ходе который пациенту был имплантирован полностью отечественный модульный протез ноги. Вмешательство потребовалось 36-летнему...
Клеевой пистолет позволит печатать заплатки для сломанных костей прямо во время операции
Группа ученых из США и Южной Кореи провела первые успешные испытания новой технологии по созданию костных имплантов непосредственно в месте повреждения костей....
Некоторые искусственные подсластители ускоряют деградацию когнитивных способностей на 60 %
Исследователи из Университета Сан-Паулу в Бразилии бьют тревогу – шесть наиболее распространенных заменителей сахара оказались вредны для человеческого мозга. При длительном употреблении...
Простой и эффективный детектор диагностирует диабет по дыханию человека
Исследователи из Университета штата Пенсильвания разработали простой и дешевый многоразовый датчик для выявления диабета и преддиабетного состояния. Он не требует забора крови...
9 из 10 взрослых с расстройствами аутистического спектра не имеют официального диагноза
Исследователи из Королевского колледжа Лондона раскрыли причины того, что СМИ окрестили «эпидемией аутизма». Имеется ввиду лавинообразное увеличение количества случаев регистрации...
На Земле существует собственный «криптонит», но его невозможно добыть
Когда авторы комиксов придумывали фантастический инопланетный материал «криптонит», вряд ли они подозревали, что его аналог находится прямо у них под...
В США одобрены первые в мире глазные капли против близорукости
Управление по санитарному надзору за качеством пищевых продуктов и медикаментов США официально разрешило продажу глазных капель для исправления близорукости VIZZ....
В Калифорнии бьют тревогу из-за обнаружения диких кабанов с синим мясом
Департамент рыбных ресурсов и диких животных Калифорнии зафиксировал факт обнаружения в организме двух диких кабанов мяса странного синего цвета. Они...
В США одобрили к применению первый в мире имплант для лечения ревматоидного артрита
Управление по санитарному надзору за качеством пищевых продуктов и медикаментов США одобрило разработку калифорнийской компании SetPoint Medical в виде импланта для лечения...
Кибер-медузы помогут исследовать глубины Мирового океана
Исследователи из Университета Колорадо в Боулдере разрабатывают технологию управления медузами, чтобы превратить их в удобных и дешевых исследователей океанов. Ученые планируют оснащать...













































